
Herkes artrozun ne olduğunu bilmiyor, bu nedenle insanlar tedavi yöntemlerinde kafası karışıyor ve patoloji tanısı prensiplerini anlamıyorlar. Artroz, kıkırdak dokularının lezyonunu intraartiküler boşlukta kışkırtan ciddi bir distrofik ihlaldir. Tedavinin karmaşıklığı süreçlerin geri dönüşü olmayanlığı ile ilişkilidir, modern tıp çerçevesinde tam bir tedavi elde edilemez, ancak semptomların şiddeti azalabilir ve patolojinin ilerlemesi yavaşlayabilir. Uygun tedavi ile, bir kişi olağan yaşam tarzını uzun süre devam ettirir.
Artroz nedir?
Benzer şekilde, hastalığın artrozu için hareket ve ağrı genliğinin kısıtlanmasını kışkırtan eklemlerin bir hastalığı olması daha basittir. Hasarın ilk aşamasında, belirtiler yok, hafif bir şiddete sahip ve yıkanıyor. Yavaş yavaş, patoloji ilerler, bu, vücuttaki yaşla ilişkili değişiklikler, stres, yaralanmalar vb.
Eklemin artrozu uzun süre gelişir, başlangıçta sadece hiyalin kıkırdağını etkiler, daha sonra kemiklere yayılır, sinovyal kabuğu, kasları ve tüm eklem kapsülünü içerir. Artrozun ilk veya erken aşamasında, lezyon biraz ortaya çıkar: sıkı çalışma, şişlik, cildin kızarıklığından sonra küçük ağrılar. Rahatsız edici duyumları görmezden gelme nedeniyle, eklem deforme olur, iltihaplanır, şiddetli ağrı getirir, sabahları zirve düşer. Hastalık, eklemin gelişiminden sonra ağrının ortadan kaybolması ile karakterizedir. Tedavi edilmezse, bir kişi eklemin hareketliliğini tamamen kaybeder.

Birincil ve ikincil bir artroz şekli vardır. Sahte-artroz (neoartroz) da ayırt edilir- pek çok insan bunun ne olduğunu bilmiyor, çünkü diğer çeşitlerden daha az sıklıkta oluşuyor. Neoartroz yanlış bir eklemdir, bu nedenle kıkırdak dokusu, hasarın elde edildiği olağandışı bir yerde artar. Esas olarak cerrahi olarak tedavi etmek zordur.
Rejeneratif fonksiyon, bağışıklık veya mekanik hasar bozuklukları nedeniyle bir patoloji vardır. Kıkırdağın çeşitli nedenleri nedeniyle daha ince hale gelir. Normal durumda, kıkırdak kumaşı iyileşme için yeterli beslenme alır, ancak aşırı fiziksel efordan sonra veya metabolik süreçlerin ihlali nedeniyle kumaşların rejenere olması için zaman yoktur. İlk aşamada, eklem hareketliliği kalır. Artrozun bir tanım olarak ne olduğunu düşündükten sonra, patolojinin gelişimine daha ayrıntılı olarak derinleşmeye değer.
Artrozun gelişim mekanizması, tipleri
Benzer bir şemaya göre birçok artroz çeşidi gelişir:
- Birincil lezyon hiyalin kıkırdağını etkiler. Dolaşım bozuklukları durumunda patolojik güç bozulması meydana gelir. Arthroz meydana gelebilecek ilk adım veya nedendir.
- Hiyalin kaplama patolojileri. Kıkırdağın incelmesi, patolojik dokularının - kemik yapılarının değiştirilmesine yol açar.
- Anormal büyümeler kıkırdak - osteofitlerde görülür.
- Kıkırdak ve kemiklerin doğal anatomisinin ortaya çıkan ihlali, sağlıklı kıkırdak alanlarının aşırı yüklenmesini kışkırtır. Tedavi olmadan eklem dokularının yok edilmesi sürekli ilerliyor ve sakatlığa yol açıyor.
Hastalık derecesi arttığında, patolojik süreçler hala ağırlaştırılmıştır. Sonunda, tüm hiyalin kıkırdak yok edilir.
Hastalığın son derecesi aşağıdakilere yol açar:
- kıkırdaklı yüzeylerin altında ve üstünde kemiklerin patolojik sürecine dahil olmak;
- 2 derecelik engelliliğe yol açan hareketliliği sınırlayan eklem kabuğunun tahrişi;
- artan kapsül yoğunluğu;
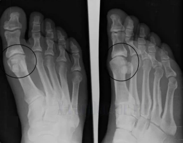
- Resimde fark edilebilir hale gelen eklem boşluğundaki boşluğu azaltmak. İhlalin aşaması teşhis-tantenolog tarafından belirlenir. Hasta uzuvu tamamen düzeltin ve bükememeyi hisseder;
- Eklem deformasyonu olan kıkırdak, eğriliği kışkırtan düzensiz bir şekil alır;
- Eklemin tamamen yok edilmesiyle hastanın durumunda bozulma.
Artroz aşamaları
Eklem hastalığının 3 aşaması vardır:

- 1 derece. Morfolojik bozukluklar zaten başladı, ancak henüz fark edilmiyorlar. Patoloji esas olarak, daha kötü kıkırdak dokularını besin bileşenlerine sahip kıkırdağın mukavemetini azaltan sinovyal sıvının durumunu etkiler. Eklemler üzerindeki yük, iltihabı ve ağrıyı kışkırtır.
- Aşama 2. Arz eksikliği nedeniyle gerekli kartuşlar yok edilir, kıkırdağın yüzeyinde kemik büyümeleri oluşur. Ağrılar, daha belirgin bir karakter edinir, uzun bir dinlenmeden sonra yoğunlaşır, küçük fiziksel emek ile ortadan kaldırılır. Ağrıya iltihap eşlik eder. Kaslar gerilir, bu da zayıf veya ortalama bozulmuş motor fonksiyonlarına yol açar.
- 3 derece. Genellikle ağrılar vardır, eklemdeki değişiklikler nedeniyle uzuvları hareket ettirmek zordur. Lezyonlar geniş, çıplak görünüm için fark edilir hale gelir. Eklem bölgesinin deformasyonu meydana gelir, etkilenen alan şişer ve kırmızıya dönüşür. Ekstremite ekseni bozulur, bu da hareketin karmaşıklığına yol açar. Patolojik değişiklikler bağların kısaltılmasını kışkırtır. Subluishes ve kontraktürler ortaya çıkar. Bitişik kaslar kısaltılır veya gerilir, kasılma fonksiyonunun zayıfladığı.
Artrozun gelişimi için nedenler ve risk faktörleri
Eklemlerin artrozunun nedenleri patoloji biçimine bağlı olarak farklılık gösterir. Dirsek ekleminin deforme olması, ayak bileği eklemi ve omuz artrozu bazen fark edilir nedenler olmadan gelişir, onları romatolojide bir uzman olan bir doktorla tespit etmek mümkündür. Sorunun önünde görünür patolojiler olmadıysa, hastalığa birincil denir. İkincil ihlal şekli esas olarak teşhis edilir, çeşitli devletleri kışkırtabilir.
Gelişimin ana nedenleri:
- Mekanik hasar: çıkıklar, kırıklar, esneme, menisküs yaralanmaları;
- bağışıklık çalışmasında arızalarla ilişkili bir dizi endokrin bozukluğu;
- metabolizma patolojileri;
- displazi (eklem dokularının konjenital anomalileri);
- eklemlerin iltihaplanmasına maruz kaldı;
- Eklemlerin yüksek hareketliliğine ve bağların zayıflamasına yol açan patolojiler.
Artrozlu hastalar en çok predispozan faktörler nedeniyle bir hastalıkla karşılaştılar:
- yaşla ilişkili değişiklikler;
- Hafif ve Artan BMI. Eklem üzerindeki yüksek yük, hızlı eklem aşınmasına yol açar;
- faydalı maddelerin eksikliği;
- Eklemlerde aşırı yük. Bunun nedeni yoğun eğitim, spor, sert fiziksel çalışma;
- zor çalışma koşulları veya spora yanlış bir yaklaşım. Hasar etme, eklem yaralanmaları veya benzer hastalıklara genetik bir eğilim öyküsü varsa, travmatik ve zor egzersizlerden kaçınarak özel bir eğitim programına uymak önemlidir;
- Postoperatif iyileşme dönemi veya etkilenen kumaşların büyük bir payının eksizyonu ile ilişkili karmaşık operasyonlar. Bu tür durumlar kıkırdağın pürüzsüzlüğünü ve gücünü olumsuz etkiler, yük bunlar için en aza indirilmelidir;
- Genetik eğilim, aynı patolojiye sahip akrabaları olan hastalarda daha çok teşhis edilir;
- Postmenopoz aşaması, yaklaşık 50 yıl boyunca kadınlarda meydana gelir, endokrin sistemindeki değişikliklerle ilişkilidir;
- toksinlerin yıkıcı etkisi;
- ikamet bölgesinde zayıf çevresel durum;
- Eklemde sık hasar, bazen mikro çatlaklar uzun süre görünmez;
- hipotermi;
- Omurganın lomber ve servikal kısmının patolojisi.
Birincil artroz

Birincil artroz bağımsız olarak, yani herhangi bir iç veya dış nedenin etkisi olmadan oluşur. Yenilgi, hiyalin kıkırdağından oldukça yavaş gelişir. Nadiren teşhis edilir, tüm vakaların sadece% 3-5'ini oluşturur.
İkincil artroz
İkincil artroz çoğunlukla vakaların% 95-96'sı bir sipariş ile tespit edilir. Yukarıdaki patolojilerden herhangi biri tarafından provoke edilirler.
Artrozun belirtileri ve semptomları
Hastalığın tezahürleri lokalizasyona bağlı olarak çok az farklılık gösterir, daha çok işaretler yüksek yük nedeniyle dizlere, omuzlara ve kalça eklemlerine yansır.
Çoğunlukla şikayetler aşağıdakilere geliyor:
- ağrı. İlk aşamada düşük bir şiddete sahiptirler, sansasyon durumunun şiddetlenmesi yoğunlaşırlar. Başlangıçta, eklemler sadece uyandıktan sonra acıyor, hafif bir sıcaktan sonra duyumlar kayboluyor. Zamanla, acılar geceleri ortaya çıkar, uzun süreli yürüyüş, koşma vb. Sırasında ve sonrasında büyük ölçüde rahatsız ederler. Son aşamada, ağrı sendromu her zaman bir kişiyi takip eder;
- sınırlı hareket genliği. Eylemlerin sertliği yapıdaki anatomik değişiklikleri gösterir. İlk başta sabah kendini gösterir, sonra günlük hareketler sınırlıdır. Durumun şiddetlenmesini kışkırtmamak için, iş çeşitli ve hafif olmalıdır, aksi takdirde hasta zamanla uzuvları tıkayıp sıkamayacaktır. Zamanla, bir kişinin motor yeteneğini kaybettiği bir sözleşme riski vardır;
- Hareketler sırasında taç - artrozun spesifik olmayan tezahürlerine aittir. Hastalık, bir rahatsızlık, ağrı ve sınırlı etkilerle birlikte tek bir eklemde (poliartroz hariç) krun oluşumu ile karakterizedir. Akımın doğası dalga benzeri - ilk başta kendini zayıf bir şekilde gösterir, yavaş yavaş yoğunlaşır, ancak 3 aşamada kaybolur;
- kızarıklık ile şişme. Hastalıklı eklemin yakınında lokalize edilir, bu enflamatuar bir süreci ve hastalığın ilerlemesini gösterir. Doktor sinovyal kabuğun etkilendiğini anlar, bu sıvı ve artan ağrı birikimini kışkırtır;
uzuv deformasyonları. Hastalığın ihmal edilmiş bir formunda görünür, kıkırdak dokusunun tamamen yok edilmesini ve osteofitlerin görünüşünü gösterir. Bu durumda, eğrinin tüm uzuvları etkileyebileceği üst ve alttaki eklemler artar.
Kemiklerin bacaktaki deformasyonunun genellikle mısırla karıştırıldığını hatırlamak önemlidir. Semptom sadece ilk bakışta zayıf tehlikelidir, ancak ciddi sonuçlara yol açar.
Komplikasyonlar
Başlangıçta, tedavi için konservatif tedavi yöntemleri kullanılır. Etkisizlerse veya hasta doktorun önerilerini görmezden geldiyse, sonuç riski vardır.
Olası komplikasyonlar:
- Eklem tamamen yok edilir;
- Uzuv hareketsizleştirilir, herhangi bir hareket son derece zorlaşır;
- intervertebral fıtıklar;
- Engellilik;
- Eklemin veya tüm uzuvun güçlü deformasyonu.
Artroz teşhisi
Teşhis yapmak için, romatologlar hastanın şikayetlerini inceler ve bir X -Ray muayenesi öngörürler. Çoğu zaman, radyografi 2 projeksiyonda kullanılır. Doktor, hiyalin kıkırdak ve kemik eklemlerinde distrofik bozuklukların varlığına bakar. Eklem boşluğu azalırsa, kemikler deforme olur veya düzleştirilirse, kıkırdağın yüzeyinde kistik oluşumlar vardır, osteofitler bariz artroz belirtileridir. Muayene sırasında, eklem eklemin kararsızlığını gösterir: uzuvların ekseni ve subluksasyon bozulur.

Genellikle bir x -ray resmi eklemin durumu hakkında tam bilgi veremez. Daha kapsamlı bir çalışma için bilgisayarlı tomografi reçete edilir, kemiklerin incelenmesi için etkilidir. MRG daha sık yumuşak dokuları incelemek için kullanılır.
Teşhis sırasında, patolojinin temel nedenini belirlemeye yardımcı olacak diğer uzmanların katılımı uygulanmaktadır. Genellikle bir hematolog, endokrinolog, jinekolog, ortopedik'in danışmanlığına başvurur.
Modern tedavi
Yüzlerce artroz terapisi yolu vardır, ancak hepsi bir dizi yönteme gelir:
- İlaç tedavisi. Ana görev semptomlarla mücadele etmek ve ihlalin daha da geliştirilmesini önlemektir. Çoğu zaman, analjezikler, iltihapla mücadele etmek için ağrıyı, -kanallı olmayan anti -enflamatuar ilaçları hafifletmek için kullanılır, şiddetli ağrı ve akut inflamasyon için hormonal ilaçlar reçete edilir. Her ders, kıkırdak kumaşlarını yıkımdan koruyan kondroprotektörlere dayanır, üretimleri için doğal maddeler kullanılır;
- fizyoterapi. İlaçların etkinliğini arttırır, iltihapla kavga eder, semptomları hafifletir, doku rejenerasyonunu hızlandırır. Çoğu zaman ultrasonik, elektrik, manyetik, lazer tedavisi kullanılır. Bu aynı zamanda çamur banyoları, doğal malzemelerle uygulamalar, radon banyoları;
- Tıbbi Beden Eğitimi. Hem bir önleme olarak hem de durumu kolaylaştırmak için kullanışlıdır. Doğru fiziksel egzersizlerden sonra, ağrıyı tamamen ortadan kaldırmak mümkündür. Havuzu ziyaret etmek, yoga yapmak ve genellikle yürümek yararlıdır;
- Manuel tedavi, masaj, eklemlerin eğriliğinin önlenmesine katkıda bulundukları için hastalığın tedavisine yardımcı olacaktır. Yaralanmalardan sonra, manuel terapist eklemi düzleştirebilir ve fiksasyonunu yanlış pozisyonda önleyebilir. Masajdan sonra kas tonusu arttırılır, kan dolaşımı hızlanır;
- Doğru beslenme. Sağlıklı bir diyet, vücudu kıkırdak için besinlerle zenginleştirmeye ve vücut ağırlığını azaltmaya yardımcı olacaktır. Büyük bir kütle eklemlerin aşınmasını arttırır;
- Sanatoryum-resort tedavisi eklemleri güçlendirecektir. İyileşme çerçevesinde, sanatoryumlara balneoterapi, egzersiz terapisi, fizyoterapötik prosedürler vb.;
- Geleneksel olmayan terapi. Artroz tedavisi için kulübeler, naturo-, aph- ve bitkisel ilaçların yanı sıra akupunktur ve çeşitli halk tarifleri kullanılır;
- Cerrahi müdahale, hastalığın üçüncü aşamasında olağan yaşama dönmenin tek yoludur. Endoprostetikler, hasta kıkırdağını implant ile değiştirmenizi sağlar. Operasyonun tek dezavantajı yüksek maliyettir. Bir prosedür 15-20 yıl için yeterlidir.
Önleyici tedbirler
Böylece eklemin artrozu yaşlılıkta zahmet etmez, ayakta:
- sağlıklı bir yaşam tarzı korumak;
- güçlü yükleri önlemek;
- bir diyet gözlemleyin;
- kötü alışkanlıkları hariç tutun;
- Günlük jimnastik yapın;
- Ağırlığı takip edin.
Arthroz, tedavi etmekten çok daha kolay olan tehlikeli bir hastalıktır. Zamanında bir doktor arayarak ve tedavi kurallarına uyarak, hasta uzun süre tanıdık bir yaşam tarzını koruyabilecektir. Terapi ve kendini birleştirme eksikliği, hastalığın hızlı bir şekilde ağırlaştırılmasını ve sonuçta sakatlığı kışkırtır.























